Durante el desarrollo del tema de Reproducción Humana en la asignatura de Biología y Geología, los alumnos y alumnas de 3º de ESO han tenido la oportunidad de realizar una práctica muy especial y significativa para consolidar sus conocimientos.
Para la práctica se recolectaron varios erizos de mar, que fueron manipulados cuidadosamente con fines educativos y devueltos a su medio natural una vez finalizada la actividad, garantizando así el respeto por el entorno marino.
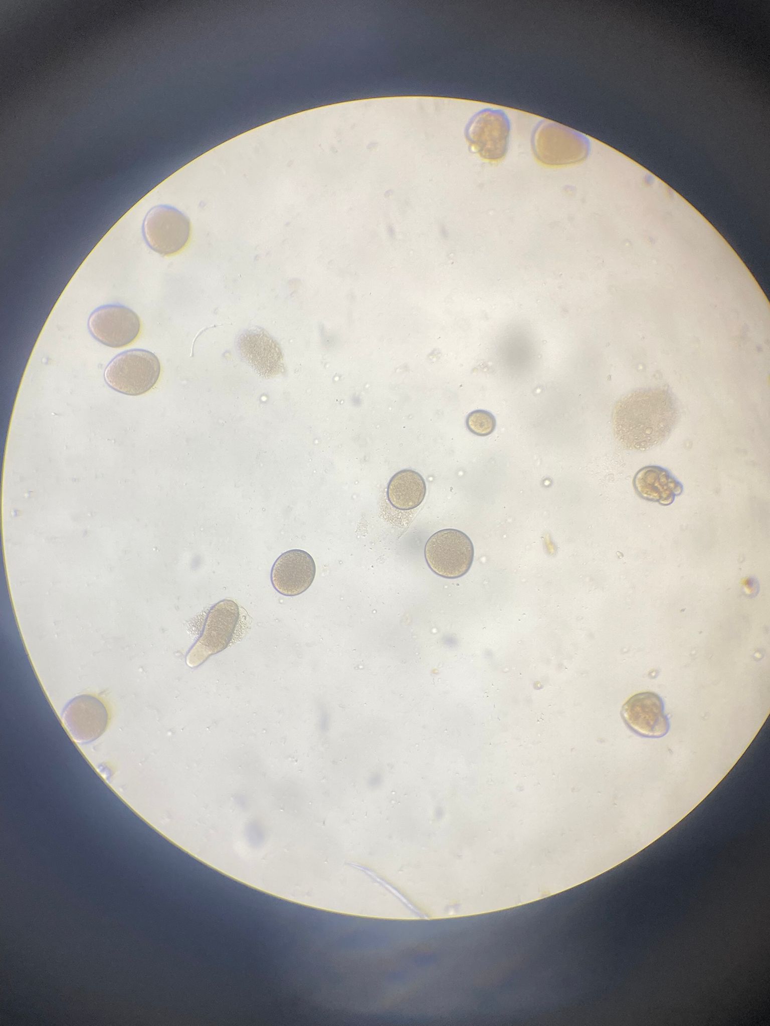
A través de un proceso controlado, se indujo la puesta de gametos en los erizos, permitiendo a los estudiantes observar óvulos reales al microscopio. Aunque todos los ejemplares resultaron ser hembras, se complementó la observación con imágenes de espermatozoides, lo que permitió al alumnado comparar ambos tipos de gametos y comprender de forma visual y práctica sus diferencias en tamaño y función.

Además, esta práctica les sirvió para distinguir claramente entre fecundación interna y fecundación externa, dos procesos clave en la reproducción de los seres vivos. Poder observar de forma directa estos mecanismos naturales facilita un aprendizaje más significativo y duradero que va más allá del libro de texto.
Este tipo de actividades no solo despiertan el interés por la ciencia, sino que también fomentan el pensamiento crítico, la observación, el respeto por los seres vivos y el compromiso con la conservación del medio ambiente. Son experiencias que motivan al alumnado, conectan la teoría con la realidad y enriquecen profundamente el proceso educativo.
¡Una jornada de ciencia, respeto y aprendizaje que difícilmente olvidarán!

